일반인 공간
건강정보
| 1. 경추 인공디스크란 무엇인가요? |
| 경추 인공디스크는 말 그대로 인체내에 정상적으로 존재하는 경추 추간판(디스크)을 모방하여 제작된 인체 삽입용 의료기기입니다. 경추 인공디스크에 대해 이해하시려면 먼저 정상적인 경추(頸椎; 목척추)의 구조부터 간단히 아실 필요가 있습니다. 척추는 두개골부터 골반까지 이어지는 우리 몸의 기둥과 같은 구조물로서 정상 성인에서는 26개의 뼈로 이루어져 있습니다. 이 중 목부위에 있는 경추의 앞부분은 7개의 경추체(頸椎體; 장기알 모양의 척추 몸통 부위)와 각 경추체 사이에 끼어있는 추간판(椎間板; 디스크)으로 이루어져 있습니다(그림 1). |
| • 그림 1 경추의 구조 |
![]() |
| 추간판은 주로 척추를 따라 전달되는 하중과 충격을 완화시켜주는 쿠션 역할을 하기도 하며, 척추체사이에 약간의 움직임을 허용할 수 있는 여유 공간으로서 작용하기도 합니다. 그림 2는 정상인에서 목을 앞으로 숙일 때와 뒤로 젖힐 때 각각 촬영한 엑스레이 사진입니다. |
| • 그림 2 정상인의 경추 엑스레이 |
![]() |
| 하얗게 보이는 부분이 척추체이고, 그 사이에 까맣게 비어있는 것처럼 보이는 공간(화살표)이 바로 추간판입니다. 추간판은 말랑말랑한 조직이기 때문에 엑스레이에서는 보이지 않습니다. 언뜻 봐서는 차이를 잘 모르겠지만 목을 앞으로 숙일 때는 척추체 앞부분의 간격이 좁아지고 뒤로 젖힐 때는 넓어지는 것을 관찰할 수 있습니다. 이것은 목의 운동에 따라 추간판의 모양이 변화한다는 것을 의미하며, 거꾸로 말하면 추간판이 변형될 수 있어야 목(경추)의 움직임이 가능하다고 할 수 있습니다. 정상 성인에서는 각 추간판 마디마다 약 10도 정도의 움직임이 가능하다고 알려져 있는데 이것은 추간판이 정상적인 기능을 유지하고 있을 때에만 가능합니다. 추간판은 비록 작지만 구조나 기능, 생리학적인 면에서 매우 복잡한 구조물이어서 현재까지 수많은 의학자와 과학자들이 연구를 계속하고 있으나 아직까지도 그 비밀이 완전히 밝혀지고 있지 않습니다. 다만 최근 목의 운동 중에 생기는 추간판의 변형을 모방해서, 움직임이 가능한 원판 모양의 기계 장치를 개발해 내었는데 이것이 인공디스크이며, 이 중 경추 추간판에 맞게 만든 것이 경추 인공디스크입니다. 경추 인공디스크는 한 가지 형태만 있는 것이 아닙니다. 주로 유럽과 미국에서 수많은 모델의 제품이 개발되었는데, 어느 정도 안정성이 입증되어 우리나라에서 실제 사용되고 있는 것은 약 10여종에 달합니다(그림 3). 하지만 어떠한 모델이건 기본적인 구조는 거의 동일하다고 할 수 있습니다. 우선 추간판이 제거되고 노출된, 위 아래 척추체의 단면과 접촉하여 단단히 유합될 수 있는 두 개의 판이 있고, 그 사이에 움직임을 만들어 줄 수 있는 "베어링" 구조가 끼어 있습니다. 그림 3을 보시면 쉽게 이해할 수 있을 것입니다. |
| • 그림 3. 다양한 모델의 경추 인공디스크 |
![]() |
| 추간판은 주로 척추를 따라 전달되는 하중과 충격을 완화시켜주는 쿠션 역할을 하기도 하며, 척추체사이에 약간의 움직임을 허용할 수 있는 여유 공간으로서 작용하기도 합니다. 그림 2는 정상인에서 목을 앞으로 숙일 때와 뒤로 젖힐 때 각각 촬영한 엑스레이 사진입니다. |
| 2. 경추 인공디스크는 어떤 경우에 사용하나요? |
| 이렇듯 중요한 역할을 하는 추간판이 말썽을 일으키는 경우가 있는데 가장 흔한 예가 소위 "목디스크(정확한 표현은 아닙니다)"라 불리는 병입니다. "목디스크"란 추간판이 노화되어, 신경이 지나는 척추체 뒤쪽 공간으로 돌출됨으로써 팔다리로 가는 굵은 신경 줄기인 척수(脊髓)를 누르거나, 어깨 혹은 팔로 가는 작은 신경 줄기인 신경근(神經根)을 누르는 병입니다(그림 4). 비수술적인 치료에도 증상이 호전되지 않으면 할 수 없이 수술이 필요한데, 주로 사용하는 방법이 돌출된 부위를 포함하여 추간판 전체를 제거하는 것입니다. |
| • 그림 4 돌출된 추간판이 척수와 신경근을 누르고 있는 모습 |
![]() |
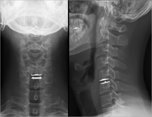
| 그림 4를 참조하여 추간판이 제거된 상태를 한 번 상상해 보십시오. 추간판이 완전히 제거되면 척추체와 척추체 사이가 일순간 빈 공간이 되어 버립니다. 이렇게 되면 추간판 공간이 주저앉게 되고 따라서 추간판 뒤쪽에 신경근이 빠져나가는 구멍도 좁아져서 수술을 통해 신경 조직을 누르던 추간판 돌출을 제거하더라도 신경근이 다시 눌릴 수 있습니다. 또한 척추 뒤쪽의 높이는 유지되는 대신 앞쪽이 가라앉아 목이 앞으로 굽어질 수 있습니다. 원래 정상 경추는 앞으로 볼록한 C자 형태의 완만한 곡선을 형성하고 있는데 목이 앞으로 굽어진다면 정상의 반대 곡선으로 변형될 수 있다는 것입니다. 이렇게 되면 위 아래 추간판에 가해지는 부하가 증가하고 척추 주위의 인대, 근육 등에 가해지는 부담도 늘어나 목의 통증도 나타날 수 있고, 경추의 노화 및 관절염을 가속화시킬 수도 있습니다. 물론 "추간판을 반드시 모두 제거해야 하는가? "허리 디스크"때처럼 돌출된 부위만 제거하면 되지 않는가?"라는 의문을 가지시는 분도 있을 것입니다. 일부 의사들은 목의 앞쪽을 통해, 혹은 내시경을 통해 추간판의 돌출된 부위만 제거하는 수술을 시도하고 있으나 아직까지는 그 효과와 안전성이 입증되지 않아 아직까지 국내외 대부분의 척추외과 의사들은 추간판 전체를 제거하는 수술 방법을 선호하고 있습니다. 다시 본론으로 돌아가 경추 인공디스크는 문제되는 추간판을 제거한 후 비어있는 공간에 삽입함으로써 기존의 추간판을 대신해 높이를 유지해 주고 움직임을 만들어 줄 목적으로 사용하게 되는 것입니다(그림 5). |
| • 그림 5 인공디스크 삽입술 환자의 엑스레이 사진 |
![]() |
| 3. 추간판을 제거한 경우에는 꼭 인공디스크를 사용해야 하나요? 인공디스크 말고 다른치료법은 없나요? |
| 물론 추간판을 제거한 후 반드시 인공디스크를 사용해야 하는 것은 아닙니다. 인공디스크가 개발되기 이전에는 추간판 공간에 자신의 골반에서 채취한 작은 뼈조각이나 동종골(다른 사람의 뼈), 혹은 인공뼈를 채워 넣어 위 아래 경추체를 통뼈로 만드는 유합술을 시행해 왔습니다. 이러한 유합술은 수많은 연구를 통하여 수술후 단기(수술 직후) 및 장기(수술후 최소한 수년-십 년 이상 경과 후) 결과가 매우 우수하다고 입증된 수술법입니다. 최근 인공디스크 삽입술이 등장하면서 일반인들에게는 유합술이 마치 구식 치료로 비추어질지도 모르겠지만 사실은 전혀 그렇지가 않습니다. "목디스크"에서 추간판 제거술후 시행하는 유합술은 현재까지도 가장 좋은 치료법(외과의사에게는 흔히 "gold standard"라 불립니다.)으로 알려져 있습니다. 하지만 이 수술법은 논란의 여지가 되고 있는 몇 가지 단점이 있기 때문에 이러한 단점을 보완하기 위해 인공디스크가 개발되어 유합술을 대체할 하나의 수술적 치료 옵션으로 등장하게 된 것입니다. 유합술도 삽입되는 뼈의 종류와 기구에 따라 많은 종류가 있지만 현재 우리나라에서 가장 흔히 사용되는 방법은 크게 두 가지로, 첫째 뼈의 삽입 후 금속판과 나사못으로 고정하는 방법, 둘째 뼈를 담은 케이지만을 삽입하는 방법이 있습니다(그림 6). 금속판을 사용하는 경우는 추간판이 제거된 공간에 환자 자신의 뼈, 다른 사람의 뼈, 인공뼈 조각을 채운 후 이것들이 앞으로 빠져나오지 않도록 경추체의 앞면에 금속판을 대고 나사못을 위 아래 경추체에 삽입하여 고정하게 됩니다. 케이지란 것은 속이 빈 튜브 형태의 삽입물을 총칭하는 용어로서 중앙의 빈 공간에 마찬가지로 자신의 뼈, 다른 사람의 뼈, 인공뼈 등을 채운 후 삽입하게 됩니다. 보통 케이지 위 아래면에는 척추체의 단면과 접촉하여 쉽게 빠져나오지 않도록 톱니나 작은 못이 돌출되어 있어 한, 두 마디의 추간판 수술시 단독으로 사용하여도 크게 문제가 되지 않습니다. 그림 7은 이러한 두 가지 방법으로 각각 유합술을 시행받은 환자의 엑스레이를 보여주고 있습니다. 해당 부위의 추간판 공간을 자세히 관찰해 보십시오(화살표). 그림 2에서 보이던 것처럼 추간판 공간이 비어있지 않고 뼈조각으로 채워져 있으며 위 아래 척추체가 이것에 의해 단단히 연결되어 하나의 뼈가 되었습니다. |
| • 그림 6 금속판과 케이지 |
![]() |
| • 그림 7 금속판과 케이지를 이용한 유합술 |
![]() |
| 4. 그렇다면 경추 인공디스크의 장점은 무엇인가요? |
| 앞에서도 언급한 바와 같이 인공디스크는 기존에 행해지던 유합술의 단점을 보완하기 위해 개발된 것입니다. 그렇다면 유합술의 문제점이 곧 인공디스크의 장점이자 사용 근거가 될 것입니다. 다음에 열거하게 될 유합술의 대표적인 문제점은 척추외과 의사들 사이에서도 아직까지 논란의 여지가 많은 민감한 내용입니다. 따라서 여러분들께서 읽으시다가 혹시 혼란스럽거나 이해하기 어려울 지도 모르겠으나, 가급적 객관적으로 찬반 양론을 모두 다루도록 하겠습니다. 첫 번째, 유합술의 문제로 논란이 되고 있는 것 중 하나는 수술 부위의 인접 분절(바로 위 아래 추간판), 특히 위 분절에서 추간판의 퇴행성 변화가 발생할 가능성이 높다는 것입니다. 앞서 말한대로 목의 운동시 말랑말랑한 추간판, 특히 3번부터 7번 경추 사이에 있는 추간판들이 각자 변형되면서 움직임을 가능하게 만드는데, 쉽게 표현해서 이 중 하나가 유합술에 의해 고정되어 버리면 결국 이 일을 나머지가 나누어서 해야하고 따라서 남아있는 추간판에 과도한 부담이 가게 된다는 것입니다. 실제 실험 연구 결과에서도 추간판 하나를 고정하면 그 위 아래 추간판의 압력이 증가한다고 밝혀진 바 있습니다. 이렇게 유합술 위 아래 분절에 발생하는 방사선 검사상 추간판의 퇴행성 변화를 인접 분절 변성(adjacent segment degeneration)이라 합니다. 관련 연구가 많이 있지만 대체적으로 유합술 후 5년 이상 경과했을 때 약 25%정도에서 발생한다고 알려져 있습니다. 하지만 방사선 검사에서 이상이 있다고 해서 이것이 반드시 "목디스크" 증상을 일으키고, 또 한 번의 수술을 받게 하는 것은 아닙니다. 인접 분절 변성 환자 중 일부만이 실제로 새로운 증상을 경험하게 되는데 이러한 경우를 따로 구별하기 위해 인접 분절 질환(adjacent segment disease)이라고 합니다. 역시 여러 연구 보고가 있으나 대체적으로 수술후 1년마다 3%씩 발생율이 증가한다고 합니다. 예를 들어 100명의 환자에게서 경추 추간판 유합술을 시행했다면 5년 후에는 이 중 대략 15명(5년 x 3%/년 = 15%)에서 인접 분절 질환으로 또 한번의 수술이 필요하다고 할 수 있습니다. 그렇다면 인접 분절 질환을 일으키는 원인은 유합술뿐일까요? 반드시 그렇다고는 할 수 없습니다. 인간의 추간판은(신체 어느 부위도 마찬가지이지만) 사춘기 이후 점차로 노화되어 갑니다. 이 중 한 두 마디는 다른 곳 보다 먼저 노화가 진행되고 변성되어 "목 디스크"로 발전할 수 있습니다. 만약 이 추간판을 수술하지 않고 방치한다면 인접 분절에는 변성(노화 즉 퇴행성 변화)이 전혀 생기지 않을까요? 상식적으로 대답해서 언제든지 생길 수 있습니다. 경추의 한 마디만 혼자서 노화되기는 어렵기 때문입니다. 다시 말해 "인접 분절 변성 혹은 질환"은 유합술을 시행한 추간판의 인접 분절에도, 또한 수술하지 않은 추간판의 인접 분절에도 모두 생길 수 있는 상황이며, 유합술의 장기적 합병증인지 아니면 추간판 노화의 자연 경과인지 확실히 구분하기 어렵습니다. 이렇게 되면 다음으로 중요한 것이 그 빈도(발생률)입니다. 만약에 유합술을 받은 환자에서 그렇지 않은 환자, 즉 인공디스크 삽입술을 받았거나 그대로 방치한 환자에 비해 월등히 많이 발생한다면 유합술이 인접 분절 질환의 위험 인자로서 규명될 수 있습니다. 역시 많은 연구 보고들이 있었지만 아직까지 갑론을박이 많습니다. 즉, 유합술을 받은 환자에서 월등히 높은 발생률을 보였다는 의사들도 있고, 전혀 차이가 없었다는 의사들도 있습니다. 경추 인공디스크가 개발된 지 아직 충분한 시간이 지나지 않았기 때문이기도 하지만, 차차 진실이 밝혀질 것입니다. 두 번째 유합술의 문제점은 해당 추간판이 사라짐으로 인해 그 마디의 움직임이 없어진다는 것입니다. 이것은 논란의 여지가 없습니다. 유합술 후에도 해당 추간판에 움직임이 있다면 이것은 뼈가 잘 붙지 않은 것이므로 실패한 수술이 되며 이로 인해 목의 통증을 비롯한 이차적 문제들이 발생할 수 있습니다(그림 8). |
| • 그림 8 케이지를 이용한 유합술 후 목의 운동시 엑스레이 사진으로 해당 추간판이 완전히 유합되어 움직임이 전혀 없는 것을 보여줍니다. |
![]() |
| 인공디스크 삽입 후에는 움직임이 비교적 잘 유지됩니다. 이 때문인지, 척추외과 의사들 사이에서는 목의 장애 정도를 객관적인 점수로 표시하는 지표가 있는데, 이 지표가 인공디스크 환자들에게서 유합술 환자들에 비해 우수하게 나온다는 연구 보고가 많습니다. 하지만 인공디스크 수술을 했다고 해서 반드시 추간판의 움직임이 정상처럼 유지되는 것은 아닙니다. 어떤 환자는 인공디스크를 사용하였음에도 불구하고 위 아래 척추체가 뼈로 연결되어 붙어 버려(마치 유합술에서처럼) 소기의 효과를 얻지 못하는 경우도 있습니다. |
| • 그림 8 인공디스크 삽입술 후 목의 운동시 엑스레이 사진으로 목을 앞 뒤로 움직임에 따라 삽입된 인공디스크가 함께 움직이는 것을 보여줍니다. |
![]() |
| 5. 단점이나 문제점은 전혀 없나요? |
| 환자분들의 피부에 와닿는 가장 큰 단점이라면 가격이 비싸다는 것입니다. 우리나라에서는 의료보험에서 인공디스크 기기 비용을 부담해주지 않기 때문에(소위 말해서 "비보험 품목"입니다.) 환자가 순수하게 한 마디당 약 400만원 정도의 기기 비용을 추가로 부담해야 합니다. 하지만 환자에게 꼭 필요하고 그만한 효과를 얻는다면 장기적으로 생각해서 꼭 비싸다고는 할 수 없습니다. 또 다른 단점은 아직 10년 이상 장기 추시 결과를 잘 모른다는 것입니다. 즉, 인공디스크 삽입술을 받고 10년 이상 경과된 결과의 보고가 거의 없어서 그 이후에 어떤 문제가 발생할 지 아무도 모른다는 것입니다. 하지만 현재까지의 연구들에 따르면 큰 문제가 없는 것으로 알려지고 있어 크게 걱정하실 필요는 없을 것 같습니다. 사실 지금까지 장기적인 결과에 가장 우려가 되던 부분은 베어링의 마모로 인한 여러 가지 합병증 들이었습니다. 경추 인공디스크에 사용되는 베어링의 재질과 구조는 이미 널리 사용되고 있는 인공 고관절(엉덩이관절), 인공 슬관절(무릎관절)의 변형이라고 할 수 있습니다. 인공 고관절과 슬관절의 장기적 합병증으로 가장 위험한 것은 오래 사용하였을 때 베어링이 마모되어 제 기능을 못하고 통증이나 관절의 운동 제한을 유발할 수 있다는 것, 베어링의 지속적 마찰로 플라스틱이나 금속의 부스러기들이 떨어져 나와 이것이 주변 뼈에 염증 반응을 일으켜 뼈가 녹고, 결국 삽입물이 뼈를 파고들거나 제자리에서 이탈될 수 있다는 것이었습니다. 하지만 다행스럽게도 인공디스크에서는 이러한 합병증이 거의 없거나 드물다고 알려져 있는데 아마도 그 이유는 척추의 움직임이 고관절, 슬관절에 비해 매우 적어서 인공디스크의 베어링 마모도 잘 발생하지 않기 때문이 아닐까 추측되고 있습니다. 앞서 설명한 바와 같이 인공디스크의 움직임이 점차 줄어들고 어떤 경우는 삽입물의 앞 뒤로 뼈가 자라서 마치 유합술처럼 붙어버리는 경우도 있습니다. 이렇게 되면 괜히 고가의 비용을 소비한 결과가 되지만 어떤 환자에서 어떤 문제로 이런 경우가 발생하는지 그 이유는 아직까지 명확히 밝혀지지 않았습니다. 하지만 설령 이렇게 되더라도 최선이 아닌, 차선의 결과가 빚어지는 것이므로 환자에게 아주 나쁜 영향을 미쳤다고 할 수는 없을 것입니다. |
| 6. 경추의 추간판을 제거하는 수술에는 모두 인공디스크를 사용할 수 있나요? |
| 그렇지 않습니다. 다시 말해서 경추 인공디스크 삽입술이 유합술을 완전히 대체할 수 있는 것은 아닙니다. 기존에 유합술의 적응이 되었던 환자의 오직 일부에서만 인공디스크를 사용할 수 있습니다. 의사마다 차이가 있겠지만 지금까지 알려진 적응증으로는 "목디스크"로 인해 목과 팔에 심한 통증이 있고, 일상 생활에 심각한 지장이 있으며, 신경 마비 증세(팔이나 손의 힘이 떨어지거나 감각 이상이 있는 경우 혹은 척수가 압박되어 사지 마비 증세가 나타나는 경우)가 있는 환자 중 최소한 6주 이상의 비수술적 치료에도 호전이 되지 않는 경우입니다. 물론 이것은 "목디스크"의 수술 적응증으로서 추간판 제거후에 유합술을 시행해도 무방합니다. 다만 인공디스크를 반드시 하지 말아야 할 금기증을 아는 것이 더 중요한데 18세 이하 혹은 65세 이상, 골다공증이 심한 경우, 골극(퇴행성 관절염때 척추체의 모서리 부분이 가시처럼 돋아나는 것) 등 퇴행성 변화가 심한 경우, 척추가 선천성 기형, 골절 등으로 인해 변형되어 인공디스크가 맞지 않는 경우, 해당 추간판 인근에 감염이나 종양이 있는 경우, 해당 분절에 불안정성이 있는 경우 들이 있습니다. 말랑말랑한 추간판이 돌출되어 생기는 연성 디스크가 아닌 뼈가 자라서 생기는 경성 디스크의 경우에도(목디스크 항목 참조) 주의를 요하는데 경성 디스크의 경우 척추체 단면의 일정 부분을 제거해야 하기 때문에 인공디스크가 적절히 삽입되지 않을 수도 있고, 최초 삽입 위치에서 이탈할 수도 있기 때문입니다 |
| 7. 이왕이면 경추 인공디스크 수술을 받고 싶은데 어떻게 해야 할까요? |
| 척추외과 의사들이 흔히 하는 말이 있습니다. "척수 수술은 자동차나 휴대폰과는 다릅니다."라는 것입니다. 자동차나 휴대폰은 최근 개발되어 출시된 제품이 가장 첨단이고, 비싸고, 성능도 좋고, 기능도 다양합니다. 무턱대고 사도 거의 후회하지 않으며 손해볼 일도 거의 없습니다. 만약 드물게 마음에 들지 않는 경우가 있더라도 물리거나, 정 안되면 다시 새 것을 사도 괜찮습니다. 하지만 척추 수술은 그렇지 않습니다. 우선 새로 나온 수술법, 첨단 수술법이 반드시 좋은 것은 아닙니다. 오히려 소개된 지 수 년이 경과되어 어느 정도 객관적인 효과와 안정성이 입증된 방법이 최선입니다. 자신에게는 적응이 되지 않는데 매스컴에서, 혹은 남들이 소개해서 일부러 특정 수술을 스스로 선택한다면 나중에 후회해도 돌이킬 수 없는 결과를 나을 수 있습니다. 인공디스크가 가장 최근에 개발된 수술 방법이라서, 혹은 주변에 누군가가 받고 좋다고 말해서 무턱대고 따라서 받기를 원하면 안됩니다. 물론 경추 인공디스크 수술은 어느 정도 효과와 안전성이 입증된 훌륭한 수술법이기는 하나 앞서 언급한 바와 같이 이것이 모든 환자에게 적용되는 "전가의 보도"는 아닙니다. 수술의 필요성과 시기, 그리고 방법은 믿을 수 있는 척추외과 의사와 충분히 상담 후 결정하는 것이 좋습니다. 특히 수술로 얻을 수 있는 효과뿐만 아니라 수술로 인해 잃을 수도 있는 것(드물게 발생할 수 있는 합병증 등)에 대해서도 충분히 이해하고 결정해야 치료의 결과에 더욱 만족할 수 있습니다. |
TOP










이메일 무단 수집 거부